See Our Smiles

Image
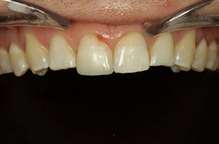
Before
Image
After
Image
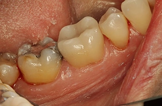
Before
Image
After
Image
Before
Image
After
Image
Before
Image
After

New Patients & Emergency Appointments Welcome!